Full Mouth Dental Implants in Dubai
Full Mouth Dental Implants in Dubai: Transform Your Smile and Reclaim Your Life with Dr. Alaa Abou Laban
Have you lost most or all of your teeth? Struggling with loose dentures that limit your diet and confidence? Dr. Alaa Abou Laban specializes in full mouth dental implants in Dubai, solutions that replace your entire set of teeth with permanent, natural-looking implants.
Using advanced techniques like All-on-4 and All-on-6 systems, combined with personalized treatment planning, you’ll rediscover the joy of eating, speaking, and smiling without worry.
What Are Full Mouth Dental Implants?
Here's how the full-mouth dental implant procedure works:

Complete Evaluation & Treatment Planning
Dr. Alaa performs a thorough assessment including 3D imaging and oral health evaluation to determine the best implant system for your specific needs and bone structure.

Tooth Extraction & Bone Preparation
Any remaining teeth are gently removed, and if necessary, bone grafting is performed to ensure adequate foundation for your new implants. Gum disease is treated to create healthy tissue.

Strategic Implant Placement
Multiple titanium implants (typically 4-6 per arch) are precisely placed in your jawbone using guided surgery techniques for optimal positioning and stability.

Final Restoration
After osseointegration (implant-bone fusion) is complete, your permanent, custom-crafted teeth are fitted, delivering a beautiful result that looks and functions like natural teeth.
Benefits of Full Mouth Dental Implants
Why patients choose this transformative dental treatment:
✅ Permanent Solution – Unlike removable dentures, implants are fixed and secure
✅ Natural Function – Restore your ability to chew all foods comfortably
✅ Bone Preservation – Implants stimulate the jawbone, preventing bone loss
✅ Enhanced Aesthetics – Custom teeth that complement your facial structure
✅ Improved Speech – No slipping or clicking like traditional dentures
✅ Long-Lasting Results – With proper oral care, implants can last many years
✅ Better Quality of Life – Eat, speak, and smile with complete confidence
✅ Easy Maintenance – Care for them like natural teeth with daily brushing and flossing
Advanced Full Mouth Implant Options
3D CBCT Imaging for precise planning
Computer-guided implant placement
PRF (Platelet-Rich Fibrin) for faster healing time
Collaboration with premium dental labs for quick turnaround
Sedation options for maximum comfort
About Dr. Alaa Abou Laban
Her expertise in managing complex cases, including those with significant bone loss or gum tissue challenges, ensures successful outcomes even in difficult situations.
Perfect Candidates for Full Mouth Implants Treatment:
- Have lost all or most of your teeth
- Struggle with loose, uncomfortable dentures
- Experience difficulty eating certain foods
- Want a permanent alternative to removable teeth
- Have adequate bone density or are willing to undergo bone grafting
- Maintain good overall health for surgery
Schedule your appointment at Reveal Medical Center. Our team will respond within 24 hours to confirm your preferred time.
Same-week appointments often available.
What Patients Say About Dr. Alaa
EXCELLENT Based on 135 reviews Posted on Neil LopezTrustindex verifies that the original source of the review is Google. The best implantologist in Dubai. Highly recommend!!! Nurses are kind and caring. Thanks for your servicePosted on Roxanne BonifacioTrustindex verifies that the original source of the review is Google. Great servicePosted on Mog MogTrustindex verifies that the original source of the review is Google. Excellent doctorsPosted on Amina HamedTrustindex verifies that the original source of the review is Google. Dr Alaa is the best - she is so professional I had an issue with my old implant and all dentists said no solution for that and she could fix it in a very creative way. Staff are very friendly and organizedPosted on Aljon VelascoTrustindex verifies that the original source of the review is Google. Amazing experience! Staffs are very friendly and helpful. My implant went well, thanks to Dr. AlaaPosted on Zenn Ariane Garceles VelascoTrustindex verifies that the original source of the review is Google. Its an amazing experience! Thanks to Dr. Alaa who did a great job in filling my teeth! Her gentle but fast hand made my treatment easy and painless! Her team is very accommodating and she herself is very friendly. Thank you so much!Posted on Adriane GarcelesTrustindex verifies that the original source of the review is Google. Thank you so much Dr. Alaa for the exceptional treatment I experienced from your clinic. My dental implant was successful and I really appreciate your help Dr. and team, it was done smoothly, quick and pain-free! I finally have a beautiful smile to share. I hope you continue the excellent services. I highly recommend! 🙏✨🥰Posted on Doctor Kateryna ShapovalovaTrustindex verifies that the original source of the review is Google. Thank you so much Dr Alaa Abou Laban, I did my teeth cleaning and it was very fast and in high professional level . I recommendPosted on Cynthia TorresTrustindex verifies that the original source of the review is Google. I did a cleaning and whitening. Procedure was painless compared to the previous whitening I did and results 2 shades lighter. Dr Alaa also did a quick additional check up and gave me advises about some products to use. Thank youVerified by TrustindexTrustindex verified badge is the Universal Symbol of Trust. Only the greatest companies can get the verified badge who has a review score above 4.5, based on customer reviews over the past 12 months. Read more
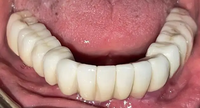
Life-Changing Patient Transformations
Book Your Consultation Today
Prefer to call? Contact us directly at +971 4 385 0250
Located at Reveal Medical Center, Dubai