Are you looking for a fast, reliable solution to missing or damaged teeth—without the long wait? At Reveal Medical Center, Dr. Alaa Abou Laban offers cutting-edge Same Day Dental Implants in Dubai that restore your smile in just one visit.
Thanks to 3D imaging, advanced implant planning, and immediate-load implant systems, you can walk in with missing teeth and walk out with a fully functional, natural-looking smile—all in a single day.

We start with a CBCT scan and digital impressions to assess bone structure, plan implant positioning, and ensure perfect fit and function.

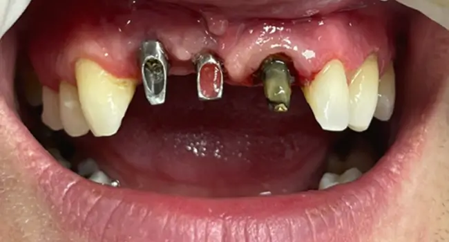
Using guided implant surgery, a biocompatible titanium implant is inserted precisely into your jawbone.

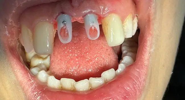
A custom-made temporary crown or bridge is placed immediately, giving you instant aesthetics and function.

After healing, your temporary is replaced with a long-lasting zirconia or porcelain restoration, tailored for beauty and durability.
✅ Immediate Results – Leave the clinic with a beautiful, working smile
✅ Time-Saving – Fewer appointments, less downtime
✅ Natural Look & Feel – Customized restorations for lifelike appearance
✅ Bone Preservation – Prevents jawbone loss and maintains facial structure
✅ Advanced Comfort – Minimally invasive, precise techniques
✅ Long-Term Durability – Strong, stable, and built to last
We use the latest in implantology and digital dentistry to ensure safety, comfort, and exceptional outcomes:
EXCELLENT Based on 135 reviews Posted on Neil LopezTrustindex verifies that the original source of the review is Google. The best implantologist in Dubai. Highly recommend!!! Nurses are kind and caring. Thanks for your servicePosted on Roxanne BonifacioTrustindex verifies that the original source of the review is Google. Great servicePosted on Mog MogTrustindex verifies that the original source of the review is Google. Excellent doctorsPosted on Amina HamedTrustindex verifies that the original source of the review is Google. Dr Alaa is the best - she is so professional I had an issue with my old implant and all dentists said no solution for that and she could fix it in a very creative way. Staff are very friendly and organizedPosted on Aljon VelascoTrustindex verifies that the original source of the review is Google. Amazing experience! Staffs are very friendly and helpful. My implant went well, thanks to Dr. AlaaPosted on Zenn Ariane Garceles VelascoTrustindex verifies that the original source of the review is Google. Its an amazing experience! Thanks to Dr. Alaa who did a great job in filling my teeth! Her gentle but fast hand made my treatment easy and painless! Her team is very accommodating and she herself is very friendly. Thank you so much!Posted on Adriane GarcelesTrustindex verifies that the original source of the review is Google. Thank you so much Dr. Alaa for the exceptional treatment I experienced from your clinic. My dental implant was successful and I really appreciate your help Dr. and team, it was done smoothly, quick and pain-free! I finally have a beautiful smile to share. I hope you continue the excellent services. I highly recommend! 🙏✨🥰Posted on Doctor Kateryna ShapovalovaTrustindex verifies that the original source of the review is Google. Thank you so much Dr Alaa Abou Laban, I did my teeth cleaning and it was very fast and in high professional level . I recommendPosted on Cynthia TorresTrustindex verifies that the original source of the review is Google. I did a cleaning and whitening. Procedure was painless compared to the previous whitening I did and results 2 shades lighter. Dr Alaa also did a quick additional check up and gave me advises about some products to use. Thank youVerified by TrustindexTrustindex verified badge is the Universal Symbol of Trust. Only the greatest companies can get the verified badge who has a review score above 4.5, based on customer reviews over the past 12 months. Read more
Schedule your appointment at Reveal Medical Center. Our team will respond within 24 hours to confirm your preferred time.
Same-week appointments often available.
Prefer to call? Contact us directly at +971 4 385 0250
Located at Reveal Medical Center, Dubai
Yes! With proper planning and technology, most patients can receive temporary teeth the same day implants are placed.
With proper care, they can last 10–20 years or longer.
Most patients return to work within 1–2 days. Discomfort is minimal and manageable.
We offer bone grafting & sinus lifts.
Rebuild your smile and regain your confidence with Dr. Alaa Abou Laban. Schedule your appointment at Reveal Medical Center.